SALUDVisto 4241 veces — 05 mayo 2018

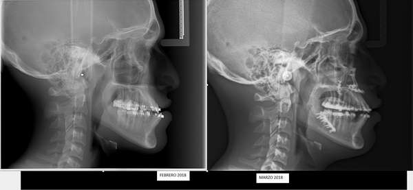
La cirugía ortognática es una cirugía que se realiza para corregir el tamaño y posición de los maxilares y poder dar solución a la desarmonía dento maxilofacial que presentan los pacientes. Es una intervención compleja que dura alrededor de 4 horas.

Gracias al completo equipamiento y mayor cantidad de especialistas al completarse un equipo integral para la atención de los pacientes que requieren esta operación, se pudo realizar la primera en el nuevo Hospital Regional de Antofagasta, la que sin duda, cambió la vida de éste primer paciente beneficiado, Christopher Schiappacasse , un joven de 15 años, tocopillano.

El Dr. Juan José Cortes, cirujano maxilofacial, quien es uno de los especialistas que realizó la intervención quirúrgica, explicó que “esta cirugía de Cristopher marca el inicio de un programa de pacientes que vamos a operar aquí en el hospital, el cual está pensado para dar solución a estos jóvenes. Cirugía que anteriormente no se hacía en el sistema público y que ahora ellos pueden acceder a ese beneficio”.

Cortés explica que en palabras más comunes que “esta patología es cuando los pacientes tienen la mandíbula grande o pequeña acompañado de un maxilar grande o pequeño lo que en otras palabras les produce dificultades en el aparato masticatorio y en el respiratorio, entonces con este tratamiento además de los pacientes aparte de verse mejor, comen y respiran mejor, que es lo más importante”.

Sobre estos avances en la salud pública de la macro zona, el Director (s) de Servicio de Salud Antofagasta, Héctor Andrade, recalca que “es una enorme satisfacción poder iniciar este tipo de intervenciones. No sólo vemos que es el resultado de una mejor infraestructura clínica y de una mayor disponibilidad de especialistas, sino que prueba que los múltiples esfuerzos realizados para contar con el hospital de mayor complejidad del norte del país valieron la pena por cuanto beneficia directamente a nuestros pacientes.”

Tratamiento previo y posterior:

La Dra. María Angélica Vila es la ortodoncista de cabecera de Christopher, quien lo comenzó a atender el año 2013, cuando él tenía 10 años. En esa época debió iniciar un tratamiento ortopédico maxilar con una máscara de tracción frontal para tratar de favorecer el crecimiento maxilar, la cual usó durante un año aproximadamente, señala que “por temas de pre y post natal no pude continuar atendiendo a Christopher estando ausente un tiempo del sistema y al volver él ya no estaba en edad para continuar con este tratamiento”.

Por ello, agrega “sólo quedaba la opción de prepararlo para una intervención quirúrgica, la cual en esos momentos no era posible realizarla en el antiguo Hospital Regional, lo que afectó a la familia, ya que en extra sistema tiene un valor aproximado de 12 millones de pesos incluyendo el tratamiento ortodoncico anterior y posterior a la cirugía”.

María Angélica manifiesta que “el poder haber concretado esto en este nuevo recinto es de verdad para mí maravilloso, porque significa que le podemos dar la solución a pacientes que no pueden hacerlo de otra manera y eso es algo súper importante”.

Cambios notorios:

La madre de Christopher, Damaris Díaz, comenta que “nosotros como padres estamos felices por él. Mi hijo tenía el autoestima muy bajo, no estaba conforme con nada, por el sólo hecho de tener el mentón hacia afuera él se encontraba feo y en pleno verano se iba al liceo con un cuello polar para taparse, tampoco se sacaba fotos o se tapaba, pero ahora con esto espero que las cosas cambien. Estamos muy contentos y agradecidos del Hospital y de los médicos que lo atendieron, esto hubiera sido imposible para nosotros hacerlo en otro lugar”.

Vila, destaca que “muchas veces la gente piensa que esto es estético, obviamente que consigo lleva una mejora estética, pero lo importante es que acá se mejora la función del paciente presentando resultados impecables. Una recuperación inicial, que podríamos hablar del postoperatorio, son 15 días, donde se disminuye el edema facial donde él ya puede volver a masticar. Y un mes para que él pueda ya realizar actividad física deportiva y volver a trabajar y a estudiar”.

En este contexto, la Dra. Jimena Carrasco, Jefa del Servicio Dental del Hospital Regional de Antofagasta, recalca la importancia de esta prestación, manifestando que espera “que este servicio llegue a quienes lo necesitan, siendo un gran avance, ya que cambia la calidad de vida de los pacientes, siendo una patología corregible desde un punto de vista quirúrgico”.

Futuros pacientes:

Esta Unidad ya cuenta con varios pacientes que ya están listos para operarse, planificando realizar estas intervenciones durante el periodo de las vacaciones de los jóvenes, para que no lleguen tan cercano al postoperatorio a sus recintos educacionales o trabajos, quienes ya se están realizando el tratamiento previo de ortodoncia, el cual se realiza durante un año aproximadamente.

Destacar que estos pacientes son preparados en un 100%, tanto en diagnóstico como en tratamiento en un sistema de atención sistemática multidisciplinaria.
En lo que respecta a edad para esta cirugía, no existe una edad ideal o específica para hacerlo, dependiendo el diagnóstico se debe realizar tempranamente o esperar que el crecimiento del paciente haya terminado.

Este trabajo es realizado de forma interdisciplinaria por el equipo de Cirugía Ortognática, Ortodoncista Drs: María Angelica Vila, Roberto Muñoz y Marcelo Rivera y Cirujanos Maxilofaciales Drs: Juan José Cortes, Alejandro Araya, Paulina Gonzalez y Juan Bugueño, contando con el apoyo de radiólogos, y otros especialistas, así también como todo el equipo de pabellón y anestesia, esperando informar esto a la comunidad para que más pacientes tengan acceso a estas mejoras sustanciales en sus vidas.

Compartir

About Author

iphonerodrigo